现在如果你的牙齿缺了是有好几种办法可以解决问题的,比如说种植牙、活动假牙、固定义齿、牙冠修复等。今天就是想和大家分享一下70岁的爷爷缺了十颗牙的修复历程。

两年前爷爷和我们说,自己的牙齿感觉有几颗松松的,当场就张开嘴晃了晃那几颗松的牙齿给我们看,我们看了以后也就想着带爷爷去医院看一下,但是爷爷却摆摆手,说只是几颗牙松了一点而已,这就去检查不就是浪费钱嘛?

自从那次过去差不多一个月左右的时间,我们在吃午饭的时候,不出意外的爷爷的牙齿掉了一颗。但是他还是不以为然,认为就是因为食物比较硬把他的牙齿弄掉了,往后吃东西小心一点就行。但是,接下来两个月,原先告诉我们的几颗松动的牙齿,也都有序下岗。

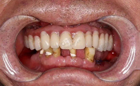
往后,我们也基本忽略了爷爷的“倔强”,硬是把他带到了我们知道的一家口碑不错的牙科检查看下,当然老人家只是比较心疼钱来之不易,不舍得我们把在他身上过多花费,我们当然也明白,所以就带着爷爷去了。医生检查完以后发现爷爷的牙齿大部分都已经松动,牙周病的程度时比较严重了,但是一开始没有重视问题也没有及时治疗,所以好几颗牙齿都保不住了。

因为原先是可以治疗的,但是有些牙齿因为缺了以后,旁边的牙少了一边的支撑,就出现了现在这种情况,这样下去不管不顾牙齿情况会越来越差,就不单单是外貌会受到影响,就连咀嚼功能和消化功能都会收到影响。
医生和我们说有两种方案可以选择,一个是价格便宜的活动义齿,平时也方便摘戴。还有一种是价格比较贵一点的种植牙,虽然会贵一些,但是无论是看上去还是用起来都和原来的真牙相信。

经过我们一家人讨论,也是听了爸爸的建议,宁愿多花一点钱也不能让爷爷以后在牙齿上再出什么大问题。于是我们就选了做种植牙的方案,但是因为爷爷原先牙周就有问题,先把牙周问题治疗好了以后,才做种植牙。

种牙当天的时候,爷爷实现种上了牙根,原先我们还是会担心很疼,差不多3个小时左右后,我们悬着的心就放下来了,爷爷说除了打了麻药还有点发麻,其他没啥感觉,麻药过了以后因为有服用止痛药,所以都很顺利。

温馨提示:
牙科问题欢迎电话咨询 13148781706,提前预约避免排队、免专家挂号费、享受牙科诊疗最新折扣优惠。在线咨询预约
13148781706
咨询电话9:00-20:00
24小时快速服务响应 为您筛选匹配合适的的医院医生*我们极其重视数据安全,绝不会泄露任何您的隐私信息。
*为了能更符合您的情况和需求来为您筛选并及时回复您,请务必准确填写信息哦!